Anatomía de los pulmones
Los pulmones están en el tórax
Están separados por el corazón, la tráquea, el esófago y vasos sanguíneos.
La función de los pulmones es proporcionar oxígeno al organismo y eliminar el dióxido de carbono.
¿Cuánto aire cabe en los pulmones?
Su capacidad total es de 5 litros en una persona normal -en los deportistas, puede superar los 6 litros-, aunque apenas se renueva medio litro en cada inspiración y expiración.
La frecuencia respiratoria es de 15 veces por minuto en el adulto, de lo que se deduce que tomamos 7.5 litros de aire en ese intervalo de tiempo.
Si hacemos cuentas, absorbemos 450 litros en una hora, 10,800 en un día, 3.9 millones en un año y 276 millones a lo largo de una vida de 70 años.
El peso depende del sexo y del hermitórax que ocupen: El pulmón derecho pesa en promedio 600 gramos y el izquierdo alcanza en promedio los 500.
Son del tamaño más o menos de un puño cerrado.
¿Cómo respiramos?
Cuando inhalas aire por la boca y la nariz, el aire baja por la tráquea. Al bajar, unos pelos muy pequeños llamados cilios se mueven suavemente para mantener la mucosidad y la suciedad fuera de los pulmones.
El aire pasa luego por una serie de ramificaciones en los pulmones, a través de los bronquios y los bronquiolos.
El aire finalmente termina en los 600 millones de alvéolos. A medida que estos millones de alvéolos se llenan de aire, los pulmones se hacen más grandes.
Los alvéolos son los que permiten que el oxígeno del aire pase a tu sangre.
Todas las células del cuerpo necesitan oxígeno cada minuto del día.
El oxígeno entra en la sangre de los capilares pequeños y es transportado por los glóbulos rojos y viaja por capas de vasos sanguíneos hasta llegar al corazón.
El corazón envía luego la sangre oxigenada (llena de oxígeno) a todas las células del organismo.
¿Qué onda con la neumonía?
La neumonía es una infección que inflama los sacos aéreos de uno o ambos pulmones que la pueden provocar diferentes gérmenes, virus, hongos, bacterias, y como sabes el virus que casusa el COVID.
Estos sacos aéreos se pueden llenar de líquido o pus, lo que provoca tos con flema, fiebre, escalofríos y dificultad para respirar.
La neumonía puede variar en gravedad desde suave a potencialmente mortal.
Es más grave en bebés y niños pequeños, personas mayores a 65 años.
Tipos de neumonía
Neumonía bacteriana.
Neumonía vírica.
Neumonía por hongos.
Neumonía por parásitos.
Neumonía atípica.
Neumonía adquirida en la comunidad.
Neumonía asociada a ventilación mecánica.
¿Qué se siente?
Los síntomas varían de moderados a graves y dependen de varios factores.
Dolor en el pecho al respirar o toser.
Desorientación o cambios de percepción mental (en adultos de 65 años o más).
Tos que puede producir flema.
Fatiga.
Fiebre, transpiración y escalofríos con temblor.
Dificultad para respirar.
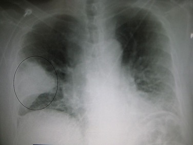
¿Cómo se ve la neumonía?
Rayos X de tórax donde se observa neumonía complicada en el lóbulo inferior derecho con efusión.
¿Cómo se puede complicar?
Bacterias en el torrente sanguíneo (bacteriemia). Las bacterias que ingresan en el torrente sanguíneo desde los pulmones pueden propagar la infección a otros órganos y, potencialmente, provocar una insuficiencia orgánica.
Dificultad para respirar. Si la neumonía es grave o si tienes enfermedades pulmonares crónicas ocultas, posiblemente tengas problemas para obtener suficiente oxígeno al respirar.
Acumulación de líquido alrededor de los pulmones (derrame pleural). La neumonía puede causar la acumulación de líquido en el fino espacio que hay entre las capas de tejido que recubren los pulmones y la cavidad torácica (pleura). Si el fluido se infecta, es posible que deban drenarlo a través de una sonda pleural o extraerlo mediante una cirugía.
Absceso pulmonar. Sucede un absceso si se forma pus en una cavidad en el pulmón. Normalmente, los abscesos se tratan con antibióticos. A veces, se necesita una cirugía o un drenaje.
Secuelas
Las secuelas respiratorias son el daño temporal o permanente producido en las vías respiratorias como consecuencia de la COVID-19.
Estas secuelas ocurren principalmente por efecto propio de la infección y por los mecanismos inflamatorios generados por nuestro organismo.
Por lo general, las secuelas más comunes son tos crónica, dolor torácico, fibrosis pulmonar, bronquiectasias y trombosis pulmonares.
Estas se presentan con tos persistente, dificultad para respirar, niveles bajos de saturación de oxígeno (menores de 92%), dolor en el pecho, la espalda o las articulaciones, mareos, desmayos, fatiga, etc.
La mayoría de secuelas respiratorias son temporales y leves.
Se resuelven entre 2-6 semanas luego del episodio agudo de la enfermedad, sin daño permanente.
Secuelas más severas como la fibrosis pulmonar solo se dan en una minoría de casos y fundamentalmente corresponden a los pacientes que desarrollaron la enfermedad de forma muy grave. En muchos casos, estos pueden quedar afectados de por vida.
Fuente: Dr. José Padua Neumólogo. Especialidad en Medicina Interna. Subespecialidad en Neumología por el INER. Certificado por la Sociedad Europea de Neumología. Neumólogo en el Hospital Bitemedica y en el Centro Médico ABC.
TW: @chaffic
IG: @respiratory_health_world
Consultorio 626, Hospital Bitémedica Santa Fe.
T. 55-44-44-49-15
Consultorio 602 Torre A, ABC SANTA FE.
T.55-58-01-74-79 y 69
Escucha aquí el podcast «¿Cómo afecta la variante DELTA de Covid-19 a los niños?».